JavaScript 似乎在您的浏览器中被禁用。 为了您在我们网站能获得最好的体验,建议在浏览器中打开Javascript。
促销活动:
新产品:
今天我们能为您做些什么?
需要帮助选择产品和下订单?
请发送邮件至 sales@sciencellonline.com
需要科学咨询、技术支持、产品应用和使用方面的帮助?
请发送邮件至 info@sciencellonline.com
需要有关本网站问题的帮助?
请发送邮件至 webmaster@sciencellonline.com
有任何与市场营销相关的疑问?
请发送邮件至 marketing@sciencellonline.com
需要帮助从国外订购?
请访问我们的 分销商 页面,选择离您最近的公司。
我们位于 1610 Faraday Ave, Carlsbad, CA 92008
请致电我们 (877) 602-8549
请传真至 (760) 602-8575
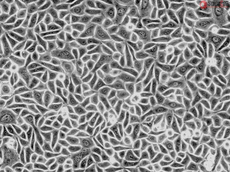
从人类头皮中分离。人类毛囊角质形成细胞 (HHFK) 在 P1 阶段被冷冻保存并以冷冻状态交付。每瓶包含超过 5 x 105 细胞,体积为 1 毫升。
本网站使用 cookie 改善您的体验。点击 “拒绝”,即表示您同意仅使用必要 cookie。您也可以只接受选定的 cookie。